
Replacement of a Perforated Upper Left Central Incisor: Early Placement of an RC Bone Level Implant - Clinical Case Report - Home
Clinical Case Report
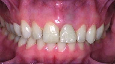
Replacement of a Perforated Upper Left Central Incisor: Early Placement of an RC Bone Level Implant
A 28-year-old patient presented at her general dentist’s office and complained about the appearance of her tooth 21. The patient had a history of trauma to this tooth. Endodontic treatment had been performed in the past and a crown placed on the tooth. A procedure to replace the old crown was performed by her dentist; however, a perforation on the middle third of the root occurred, and extraction of tooth 21 was suggested. Upon clinical and radiographic examination of the patient, who had been referred to us, replacement of tooth 21 by a dental implant appeared to be indicated.

- Surgical SAC classification
- Advanced
- Prosthodontic SAC classification
- Advanced
- Source
- Treatment Guide 10
- Purchase price
- 10 Academy Coins
- CPD/CME
- 0.15 hours
Share this page
Download the QR code with a link to this page and use it in your presentations or share it on social media.
Download QR code